Hip Dysplasia in Dogs: Symptoms, Treatment, and Prevention
Watching your dog struggle to get up, hesitate before jumping onto the couch, or show a slight limp after a walk can be heart-wrenching. For many large and giant breed dogs, and even some smaller ones, the culprit behind this pain is often canine hip dysplasia (CHD). It's not just an old dog's problem—it can start in puppyhood. As someone who's worked with dogs for over a decade, I've seen the full spectrum, from early intervention success stories to the difficult late-stage decisions. The biggest mistake I see? Owners waiting too long, thinking it's just a little stiffness. This guide cuts through the confusion, giving you the clear, actionable information you need to help your dog live a comfortable, active life.
What You'll Find in This Guide
What Is Canine Hip Dysplasia?
Let's break it down simply. A healthy hip is a ball-and-socket joint that fits together snugly. With hip dysplasia, the socket is too shallow, and the ball (the head of the femur) is loose. This poor fit causes abnormal wear and tear every time the dog moves. It's not just arthritis—arthritis is the result of the instability. The condition is primarily genetic, but factors like rapid growth, improper nutrition, and excessive exercise in puppyhood can worsen it.
Which Dogs Are Most at Risk?
While any dog can be affected, genetics load the gun. Breeds like German Shepherds, Labrador Retrievers, Golden Retrievers, Saint Bernards, and Bulldogs are famously predisposed. But here's a nuance most lists miss: it's not just size. It's body structure. A fast-growing, heavy-boned Rottweiler puppy is at higher risk than a lean, slow-maturing Greyhound, even though both are large breeds.
How to Spot the Signs of Hip Dysplasia
The signs can be subtle at first. Dogs are stoic; they hide pain until it's severe. You need to become a detective.
Early Signs (Often in Young Dogs 5-18 Months)
- The "Bunny Hop" Run: A telltale sign. Instead of a normal diagonal gait, they push off with both back legs together, like a rabbit.
- Reluctance to Jump or Climb: Hesitating before getting in the car or going upstairs.
- Decreased Activity: The playful puppy who tires easily or loses interest in fetch.
- Swaying Gait or Stiffness after rest.
Later Signs (As Arthritis Progresses)
- Audible Clicking or Grating from the hip during movement.
- Visible Muscle Loss in the thighs, making the hips look bony.
- Difficulty Rising, especially on slippery floors.
- Noticeable Lameness or favoring one leg.
- Behavioral Changes: Irritability, licking at the hip area, or withdrawing from touch.
I once worked with a 10-month-old Labrador who just seemed "lazy." His owner thought he was calm. It was only when he started bunny-hopping at the park that the alarm bells rang. Early X-rays confirmed significant laxity. Catching it then changed his entire treatment trajectory.
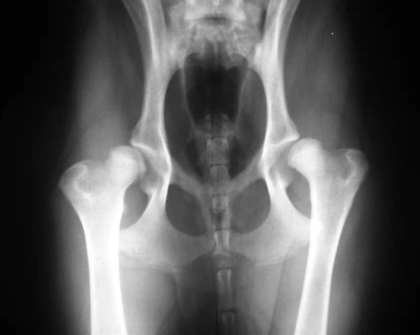
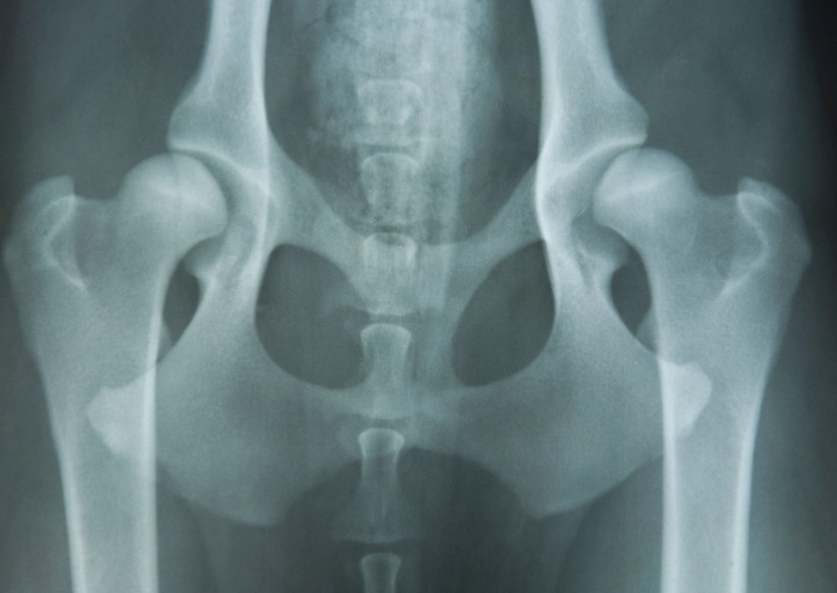
Getting a Diagnosis: It's More Than Just an X-Ray
You see the signs, you go to the vet. What next? A proper diagnosis is a process.
- Physical Exam: The vet will manipulate the hips, checking for looseness (Ortolani sign), pain, and range of motion. They'll also watch your dog walk.
- X-Rays (Radiographs): This is the gold standard. But not all X-rays are equal. A quick, awake X-ray often misses the true degree of laxity. For a definitive diagnosis, especially in young dogs, a hip-extended ventrodorsal view and often a PennHIP or Dorsal Acetabular Rim (DAR) view are needed. PennHIP, in particular, can detect laxity in puppies as young as 16 weeks, which is a game-changer for early intervention.
- Sedation: For accurate positioning and to relax the muscles, sedation is usually necessary. Don't skip it—a poor-quality X-ray leads to a poor diagnosis.

Weighing Your Dog's Treatment Options
There is no one-size-fits-all cure. The path depends on the dog's age, severity, size, and lifestyle. We broadly split into conservative (non-surgical) and surgical management.
Conservative Management (For Mild Cases or Dogs Who Are Poor Surgical Candidates)
This isn't "doing nothing." It's a multi-pronged strategy to manage pain and slow arthritis.
- Weight Management: This is the single most important factor. Every extra pound is four pounds of pressure on those joints. Get your dog lean.
- Controlled Exercise: Swap high-impact activities (fetch, jumping) for low-impact ones like leash walks, swimming, or hydrotherapy.
- Physical Therapy & Rehabilitation: Canine rehab is revolutionary. It builds supportive muscle, improves range of motion, and manages pain. Look for a Certified Canine Rehabilitation Practitioner (CCRP).
- Joint Supplements: Glucosamine, chondroitin, and omega-3 fatty acids (fish oil) help support cartilage and reduce inflammation. They're a long-term investment, not a quick fix.
- Pain Medication: NSAIDs (like carprofen or meloxicam) prescribed by your vet can dramatically improve quality of life. Never use human medications.

Surgical Options (For Moderate to Severe Cases)
Surgery aims to either correct the mechanics or replace the joint. It's a big decision with a significant recovery period, but it can offer a permanent solution.
| Procedure | Best For | How It Works | Recovery & Considerations |
|---|---|---|---|
| Double or Triple Pelvic Osteotomy (DPO/TPO) | Young dogs (under 10 months) with laxity but minimal arthritis. | The pelvis is surgically cut and rotated to better cover the femoral head, improving stability. | Major surgery, strict 8-12 week crate rest. Excellent results if performed early on the right candidate. |
| Femoral Head Ostectomy (FHO) | Smaller dogs ( | The ball of the hip joint is removed. The body forms a false joint from scar tissue. | Recovery relies heavily on physical therapy to build muscle. Function is good, but not normal. |
| Total Hip Replacement (THR) | Mature dogs with severe arthritis, typically over 20-25 lbs. | The entire diseased joint is replaced with metal and plastic implants. | Considered the gold standard for restoring normal function. High cost, requires a specialist surgeon. Recovery is about 3 months. |
| Juvenile Pubic Symphysiodesis (JPS) | Very young puppies (under 20 weeks) identified as high-risk via PennHIP. | A minimally invasive procedure that fuses part of the pelvis, guiding it to grow into a better socket. | Preventive surgery. Quick recovery, but timing is absolutely critical. |
I've seen THRs transform dogs. A 5-year-old German Shepherd who couldn't walk more than a block is now hiking miles. But it's a commitment—financially, emotionally, and in terms of post-op care. The worst outcomes I've witnessed are from owners who rush the recovery, letting the dog run too soon.
Prevention and Long-Term Management
You can't change genetics, but you can stack the deck in your dog's favor.
- Breed Responsibly: If getting a puppy, choose a breeder who does OFA or PennHIP certifications on the parents and grandparents. Good breeders will openly share these results.
- Puppy Nutrition: Feed a large-breed puppy food formulated for controlled growth. Avoid over-supplementing with calcium, which can disrupt bone development.
- Puppy Exercise: Let play be self-regulated. Avoid forced running on hard surfaces, repetitive jumping, and strenuous activity until growth plates close (around 12-18 months).
- Environmental Modifications: Use ramps for cars and furniture, provide orthopedic beds, and use rugs or yoga mats on slippery floors.
Your Top Questions on Canine Hip Dysplasia Answered
How do I decide between an FHO and a total hip replacement for my 50-pound dog? The cost difference is huge.Navigating a hip dysplasia diagnosis is daunting, but it's not a hopeless sentence. With today's advanced diagnostics, surgical techniques, and rehabilitation options, most dogs can live full, happy lives. Your job is to be an informed advocate—watch for the subtle signs, push for a definitive diagnosis, and commit to the daily management. The effort you put in now directly translates to more pain-free days, more tail wags, and more adventures with your best friend.